Skip to main content Skip to secondary navigation
Main content start

Paula Welander receives NSF, GSA awards

Paula Welander has been honored by the GSA for her research accomplishments and presented a 2018 National Science Foundation (NSF) CAREER Award for her proposal to research biomarker lipids that give insight into Earth’s history.

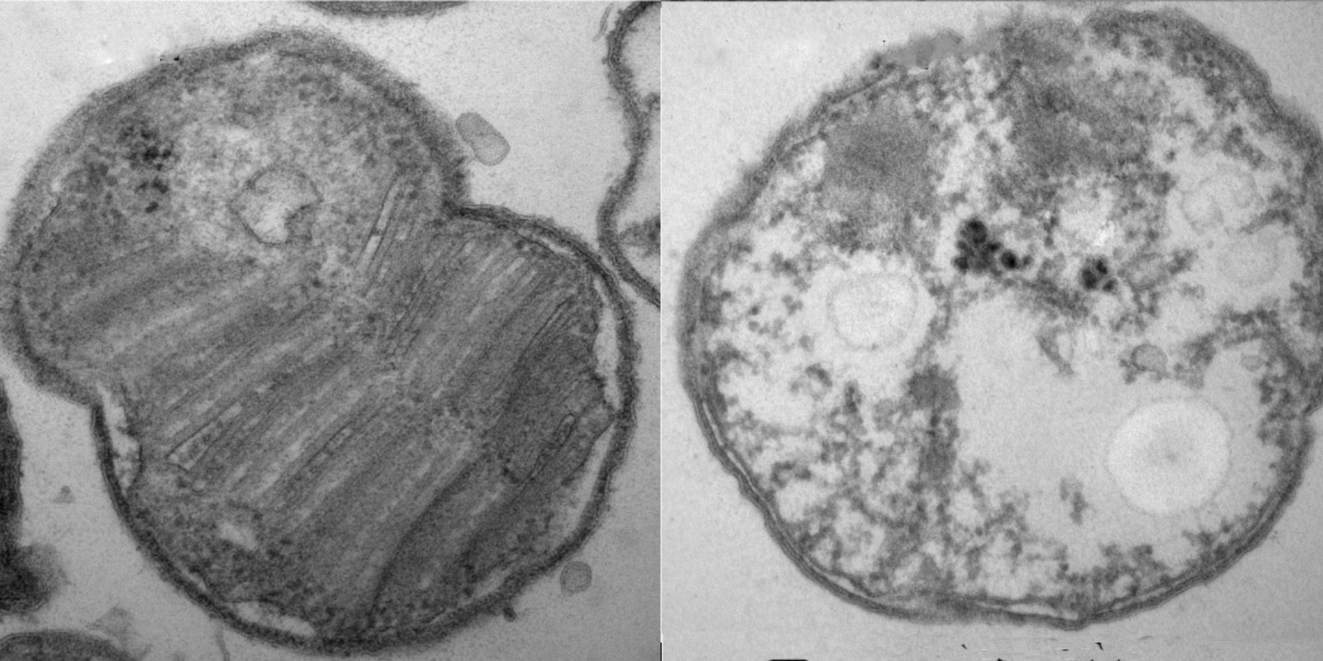
Bacterial cells with and without protective membranes.

A bacterial cell with the gene, left, exhibits protective membranes. A cell without the gene, right, produces no membranes. This gene in bacteria may help microbes survive in low-oxygen environments. (Image credit: Paula Welander)

Paula Welander
Paula Welander. (Photo credit: Steve Castillo)

Paula Welander, an assistant professor of Earth system science, recently received the 2018 Award for Outstanding Research In Geomicrobiology from the Geological Society of America (GSA) as well as a 2018 National Science Foundation (NSF) CAREER Award.

The GSA award is presented to exceptional scholars for their accomplishments in research, education and mentoring, and service in geobiology. The NSF grant supports early-career faculty who have the potential to serve as academic role models in research and education and to lead advances in the mission of their department or organization.

Welander is a microbiologist who explores the biosynthesis and physiological function of “molecular fossils,” or lipid biomarkers in present-day microbes. This approach to microbial life gives insight into Earth’s history, including ancient climatic events, mass extinctions, and evolutionary transitions. Her project, “Crossing over into the geochemical milieu: Using the molecular genomic record to inform the geologic biomarker record,” includes the development of an undergraduate lab course that will expose students from diverse scientific backgrounds to the interdisciplinary nature of geobiology.

Welander’s lab is part of the is part of the Geobiology & Paleontology research community in the School of Earth, Energy & Environmental Sciences (Stanford Earth). She holds a courtesy appointment as an assistant professor in the Department of Biology and is a member of Bio-X, Stanford’s interdisciplinary biosciences institute.

The NSF CAREER Award grants faculty members like Welander five years of financial support to foster innovative developments in science and technology, increase awareness of careers in science and engineering, give recognition to the scientific missions of the participating agencies, enhance connections between fundamental research and national goals, and highlight the importance of science and technology for the Nation’s future.

Media Contacts

Danielle T. Tucker

Stanford Doerr School of Sustainability
650-497-9541

Explore More